Já používám nosiče Opalescence po doporučení od kamarádky (koupeno http://www.nazuby.cz) a myslím si, že nejsou úplně špatné. Neříkám, že zázračně vybělí, ale o několik stupínků mi to pomohlo. Příchuť je tedy jen symbolická, ale v porovnání s bělícími pastami můžu doporučit...
Taky sem na tom dneska byla, bělejší jsou, já neměla nějak extra žluté, takže s výsledkem jsem spokojená, ale ta bolest je hrozná. Srovnatelná s vrtáním zubů do nervu. Po týhle zkušenosti už bych do toho nešla, je to fakt velmi nepříjemná bolest. Za těch pár odstínů to nestojí
Ahoj holky!, já s bělením mám zatím špatné zkušenosti. Mám domácí bělení s 15% gelem, bělím už 9 dní a výsledek nic moc. Maximálně 3 odstíny. Jsem zvědavá, jestli za týden budu spokojenější.
Reaguji na LucyDell: Já teda nevím, ale zubařka mi říkala, že tyhle pásky jsou celkem k ničemu. Ale ono taky dneska čemu se dá věřit
Mně bylo doporučeno dentální specialistkou právě bělení zubů Opalescence (pokud nechci přijít o sklovinu), ale měla by se k tomu používat ještě nějaká jiná pasta od Opalescence (právě pro posílení skloviny) a 2 pasty v týhle cenový relaci už je docela pálka...
Reaguji na lewandulle: už je zde diskuze
https://www.omlazeni.cz/-7-186308-1.html#msg2269683
dnes, 19:24:34 - Připojeno během spojování:
Bělení od firmy Opalescence
Bělím si zuby gelom od firmy Opalescence.
S výsledkom som spokojná. Ide mi len o cenu.
Nemá náhodou niekto bližšie info, kde by som mohla zohnať gel 16% a 20%ný a koľko sa pohybuje cena?
Priamo z ordinácii som to už skúšala, ale bezvýsledne.
Buď mi takto vysoko koncentrovaný gel predať vobec nechceli ( new rules from EU) alebo mi ponúkli bielenie ordinačné.
Za každé info budem vďačná
ebay
nebo jsem kupovala zde http://bleachrefills.co.uk/
jinak já jsem změnila značku místo Opalesence mám nově Nite White
Ahoj, já se u Opalescence bála porušení skloviny i bolesti...raději jsem bělila lampou (Zoom) tady: http://www.apollonia.cz/beleni-zubu/ Bezbolestné, bezpečné a zoubky se mi moc líbí.
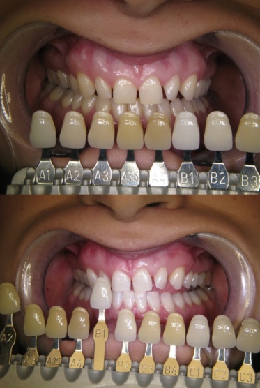
Ještě foto

belenijpg.jpg
A nebo se rovnou zaregistrujte. Zabere Vám to 2 minuty.