arrow
0%
0    0
Nebyla hodnocena

Ahoj,
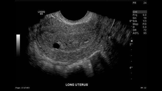
můžete mi prosím sdělit, co je to gestační váček v děloze?
Dnes jsem byla na gynek.prohlídce na podezření těhotenství (páč mám podezření už asi měsíc a půl) a prý těhotná nejsem, ale ten gestační váček přesně stejně velký jsem měla taky, akorát vpravo, pak mi ukazovala dělohu.. Kamarádka říkala, že když byla těhotná, tak ho v děloze měla a když ne, tak tam nic nebylo. Krev mi gyn.nevzala.
Znamená to něco tedy? Jsem z toho blázen. Gyn.mi vysvětlovala, kde je děloha,atd...i ten váček mi ukazovala.
Děkuji moc.

A nebo se rovnou zaregistrujte. Zabere Vám to 2 minuty.

 
PŘEČTĚTE SI TAKÉ

Toto téma jsem založil/a, mohu ho tedy uzavřít.
Své téma uzavírejte vždy (!) po úspěšném prodeji v Bazaru. Děkujeme!
Příspěvky
| smazat označené