Ahoj holky, poraďte kde v Brně kvalitně bělí zoubky, aby byl samozřejmě viditelný efekt.
Děkuji za příspěvky 
Tak v tom případě ti to na bělení laserem stačit nebude. Asi budeš muset zvolit mezi ordinačním a domácím bělením, protože obě se ti do rozpočtu asi nevejdou. V tom případě určitě zvol domácí, je to sice práce tak na 14 dní, ale výsledek je mnohem lepší, než jednorázové ordinační. Nejlepší je kombinace obou. U nás v ordinaci stojí domácí 3500 a ordinační 4000. V každé zubní ordinaci se používá peroxidový gel o různých koncentracích, jedině v tom je rozdíl, přípravky fungují všechny na stejném principu, jen jsou různé značky...
Děkuji za odpověď,ráda bych se ještě zeptala na bližší info k tomu laserovému bělení. Jaké jsou tedy výhody apod.
Aleneczka: výhoda je, že má bělení okamžitý efekt
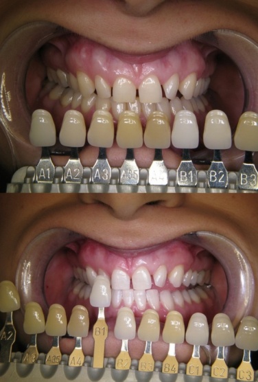
Já byla na bělení zubů v Apollonii (americký systém Beyond Max), protože jsem chtěla výsledky okamžitě. Pak jsem ještě používala bělící pastu. Posílám fotečku, jaký rozdíl můžeš očekávat u ordinačního bělení.
Cena je 7800 Kč.
Reaguji na pavla.ko: Vypadá to parádně.
Já byla cca 3 roky zpět na ordinačním taky na klinice Rovodent, ale přijde mi, že bych už potřebovala znova jít. Jak dlouho máš zoubky vybělené ty?
Reaguji na Aleneczka:
A byla si s bělením spokojená? nyní nabízí laserové bělení za 3000 tak bych to ráda vyzkoušela. Díky 
Cituji martickad: nyní nabízí laserové bělení za 3000
Prosím tě, kde jsi to našla? Já tam vidím úplně jiné ceny 
A nebo se rovnou zaregistrujte. Zabere Vám to 2 minuty.