Zuby - lze narovnat nebo pouze rovnátka ?
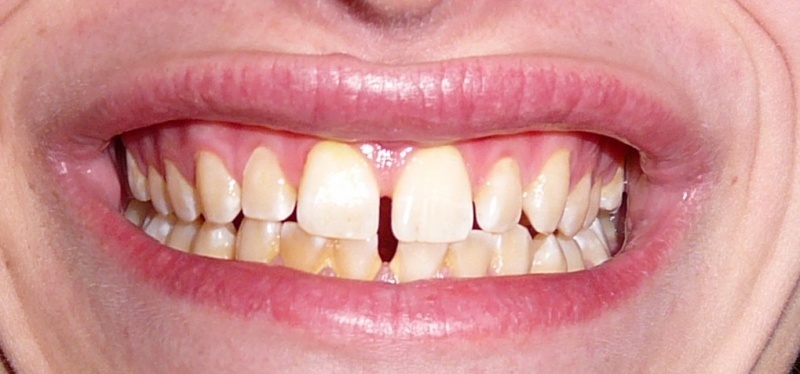
Dobrý den, chtěl bych se zeptat ohledně dvou spodních zubu, mám tam cca. 2mm mezeru a není to zrovna hezké.. viz.obrázek... dá se s tím něco dělat, nebo pomohou jen rovnátka ?
Děkuji za odpověď.
Jirka 19let

P1140966.JPG
Co jiného by se s tím mělo dělat?
Samozřejmě, že rovnátka..
Zajdi si na ortodoncii, poradí ti..
Mohly by pomoci i keramické fasety (veeners) ale zbrousili by ti zdravé zuby a zubaři se k takovému řešení neradi přikloňují. Jinak jestli nechceš rovnátka z estetických důvodů, existují i tzv. lingvální rovnátka, které se dávají na zadní stranu zubu a nejdou vidět (finančně jsou však mnohem dražší, ceny začínají od zhruba 20 tisíc Kč za patro)
Zuby se dají ještě nastavit, mezeru ti to částečně zakryje, ale přesto zůstane a zub většinou vypadá nepřirozené tvarovaný, doporučuji rovnátka- jednoznačně nejlepší řešení
Taky bych šla do rovnátek, je Ti jen 19let a vada co máš dle mého bude srovnaná za chvíli...já jsem do rovnátek šla i přes to,že je mi o 10let víc než Tobě a moje vada byla mnohem horší a dneska jsem za to ráda,že jsem to udělala...navíc dneska existují keramická rovnátka nebo plastová,kde zámečky nejsou zase tak moc vidět
Cituji Jannnie: vada co máš dle mého bude srovnaná za chvíli
No já nevim, já vidim ještě jiné vady, třeba zkosení zubů dovnitř, to by podle mě taky bylo obsahem léčby, ale samozřejmě nejsem odborník, to je jen můj laický názor.
Reaguji na AlmaSinger: To určitě,ale jako celek mi to nepřijde tak strašné, oproti třeba mé vadě každopádně na rovnátka to je - bez toho se to jen tak nesrovná
Děkuji za skvělé rady, ještě jsem se chtěl zeptat, jak je to s rovnátky přes noc ? Stačily by ?
Tady jsem našla jak odstranit mezeru mezi zuby bez rovnátek. Ale nevím, zda je to bezpečný a zda ten kroužek koupiš i v Čechách.
A nebo se rovnou zaregistrujte. Zabere Vám to 2 minuty.