Cituji Erinka: Pokud máš jinak rovné zuby, volila bych implantát.
Jsem na tom stejně, hlavně proto, že chybět bude jednička a zuby by tak jako tak po srovnání rovnátky vypadaly nesymetricky.......
Cituji Erinka: že já rovnátka přece nepotřebovala, že jsem zuby neměla strašné (to mi řeklo víc lidí)
Já taky neměla zuby nikterak strašné - jen malé vadičky (na první pohled). Co ale nikdo neviděl byl problém se skusem - já do toho totiž šla ne z estetických ale z funkčních důvodů právě kvůli nesprávnému skusu, kvůli kterému bych mola poměrně brzy o některé zuby přijít.....
Měla jsem je v 17 letech, dva týdny po sundání jsem ztratila sundávací rovnátka ( jo, nevím jak, nevím kde, nenašla jsem je do teď
) a zrovna byla doktorka na dovolené, tkž jsem tam šla až za měsíc a od té doby se mi zuby neskutečně posunuly. Jsem tam kde jsem byla, strašné
Je mi 20 let, a uvažuju, že si je dám, ale kdy, to nevím.. nechce se mi do toho- zase ta bolest při utahování, kontrola jídla, byl to děs :/ Reakce byly, přeci jen jsem je ještě měla i na ZŠ, ale tak v tvém věku v pohodě, nikdo to neřeší, max. ho to překvapí jak už tu někdo psal 
Reaguji na bakalářka:
No já je ale mám strašné... Nevím, jestli jsi mi koukala do galerky... Já do rovnátek šla čistě z estetickýho důvodu. Skus od 4 po 7 jsem měla výborný, to mi řekli všichni ortodontisti, bohužel ten předek děs a bída. Horní dvojky málo vyvinuté - čeká mě dostavba, dolní zuby stěsnané... Jinak mám zuby zdravé, za svoje dva vrtané zuby si mohu sama. Takže zkrátka jsem se už nechtěla za svoje zuby stydět.
Reaguji na Erinka:
Tak tohle bylo na rovnátka bez diskuzí...Vůbec se Ti nedivím, taky bych nechtěla mít takové zuby.....
Já oproti tomu měla zuby "ukázkové" I když teď jsou o stopro lepší......Akorát mi zůstala asymetrie a zuby jsou posunuté k jedné straně, ale není totna první pohled patrné....
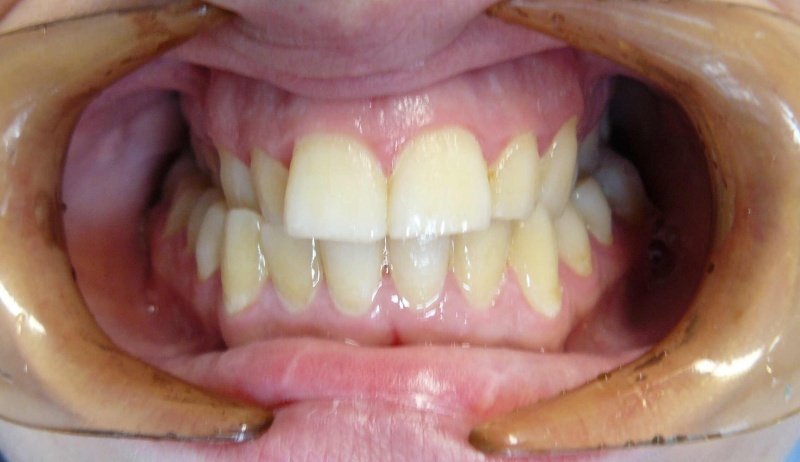
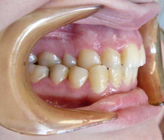
Mé zuby před rovnátky. Při úsměvu vypadají ok ale když se člověk koukne na skus, tak je to trága.....

zuby ped rovntky

zken skus

a ze strany - prost na sob zuby nesedly
Holky, když jsme u těch rovnátek, koukněte mi do galerky a poraďtě, řeknete názor jestli byste v mém případě šly do rovnátek znovu. Děkuju
Reaguji na Eveyli:
Já bych do nich šla - z jedné strany super úsměv, druhá to kazí. Taky bych posoudila, jak jsem na tom se skusem....
Reaguji na bakalářka: Stydím se, no
A když jsem dívám na fotku, kdy mi rovnátka sundala, ach jo.Přidala jsem ji do galerky.. Ten tvůj skus jako není to nějak hrozné, mám asi horší 
Reaguji na bakalářka:
No právě... Nejsem slepá, vím, jaké mám zuby, normální člověk to vidí také. Proto mě strašně mrzí a rozčilují reakce, že to nechápou, že to přece nebylo vůbec potřeba. Přitom pokaždé, když s tebou dotyčná mluví, tak ti kouká na zuby, a na ostatních rozpitvává každou drobnou nedokonalost. Raději ocením upřímnost typu "Jé ty máš rovnátka, to je dobře, že si ty zuby necháváš rovnat, protože byly vážně křivé..."
Jinak u tebe je jasně vidět, že ten skus byl špatný. Závidím ti, že už máš ty rovnátka za sebou.
Reaguji na Eveyli:
Já bych na tvém místě do rovnátek šla. A hlavně pak poctivě nosila sundavací.
Máš krásný úsměv, žádné vysoké dásně jako já. Takhle ti to ty zoubky trochu kazí.
Taky mi nasazovali fixy ve 23 letech. Hroutila jsem se dopředu, jak s nima budu vypadat, a nakonec to nějak šlo. Není to žádná hitparáda, co si budeme povídat, ale chci mít krásný zuby.
Co se týče reakcí, tak hlavně " Proč máš rovnátka, vždyť jsi měla rovný zuby"
ale jednou mě zaskočila cizí paní, co se mě začala vyptávat, proč jsem si to dala, že už jsem stará a nemá to snad cenu... podotýkám, že na svých 25 nevypadám, každý mi tipuje tak 18
a teď nedávno se mi na brigádě (kavárna) stalo, že se mě začal vyptávat host (Ital) šílenou lámanou angličtinou, jak dlouho je mám a kolik mi je atd a když už mi s ním začala docházet trpělivost, vypadlo z něj "I am dentist, I am dentist"
taky to mohl říct rovnou, byla bych míň nepříjemná
Cituji Erinka: Já bych na tvém místě do rovnátek šla. A hlavně pak poctivě nosila sundavací.
Díky za názor. Já je poctivě nosila, jen taková náhoda, že jsem je ztratila a zubařka měla zrovna dovolenou, děs. Pak jsem měla samozřejmě nové a právě ty nové mi zkřivily ty přední zuby- posunuly dopředu. Děs
Reaguji na Eveyli:
Určitě si zuby srovnej. Měla jsi to krásně srovnané. A 1,5 roku není tak dlouhá doba, to by mohlo jít zpátky docela rychle.. A hlavně moc neotálej, kdybych si je já blbka nechala dát jako mladší, rovnalo by se mi to rychleji.
Reaguji na Mangogirl: Taky jsem si je mohla dýl nechat, ale ja chtěla honem honem dolů když půjdu na SŠ- taky jsem byla blbka
Ve 23 letech si do toho šla, jo? No, někdy do toho půjdu,sice mi nikdo nic neříká, ale nerada jsem se smála před nasazením, nerada při rovnátkách a teď zase... A prosím tě, jak to je s pěnezma? Ono se platí víc, když už ti není 18, ne? Něco takového mi říkala kdysi zubařka
Cituji poletucha: je mi 30 a na rovnátka si připadám stará
To si nemyslím - mám známou a ta shodou okolností má na horních zubech taky keramické a je podobného věku jako ty, a není to nic divného. Kamarádka pracuje na rovnátkách a často se tam stává, že jakmile začne doprovázet maminka dítě na rovnátka, sama si je nechá nasadit 
Cituji Erinka: Navíc paradoxně se s těmi rovnátky nestydím tak jako bez nich, protože teď je aspoň vidět, že s tím něco dělám.
No já to vidím podobně, dlouho mi moje zuby nevadily, ale poslední asi rok a půl cejtim, že z nich mam fakt mindrák a tak jsem ráda, že do toho jdu a vím, že se s nima nebudu tolik stydět se smát 
Cituji bakalářka: Mám pocit, že v dospělosti je to snazší než v dětství - přece jen děti se víc posmívají
Jojo, taky se mi zdá, v dětství je to přecejen tak, že jakmile se jedno dítě trochu liší, tak si to hned slízne, ale dospělí už většinou mají celkem rozum 
Cituji Eveyli: Holky, když jsme u těch rovnátek, koukněte mi do galerky a poraďtě, řeknete názor jestli byste v mém případě šly do rovnátek znovu.
Já bych do toho určitě šla 
Cituji Eveyli: A prosím tě, jak to je s pěnezma? Ono se platí víc, když už ti není 18, ne? Něco takového mi říkala kdysi zubařka
Na věku už nezáleží, to tak bylo dřív. Teď je to tak, že pojišťovna hradí komplet fixní rovnátka jen jednou. Pokud už jsi je měla, tak budeš platit materiál a i práci.
Mně třeba vyjde celá péče (budu mít horní i spodní) celkově cca na 16 - 25 tisíc, podle toho, jaký si vyberu materiál a zda mi pojišťovna uhradí práci (ještě nevím, vzhledem k tomu, že před lety už jsem na rovnátka chodila a nevím, jak si to doktorka vykázala na pojišťovnu).
A nebo se rovnou zaregistrujte. Zabere Vám to 2 minuty.