
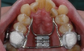
Hyrax je kovový fixní aparát určený k rozšíření horní čelisti. Buď se nasadí nebo přímo nacementuje na několik zubů v horní čelisti. Uprostřed horního patra je v aparátu „zámek“ obsahující šroub, kterým je nutno otáčet, zpravidla dvakrát denně, což zvládne pacient většinou sám. Otáčením dochází k postupné expanzi horní čelisti.
Zúžená horní čelist může způsobovat zkřížený skus, vysokou klenbu patra, omezené nosní dýchání, či dokonce asymetrický růst čelisti. Tyto i jiné potíže dokáže hyrax odstranit.
Hyrax se používá v naprosté většině případů pouze u dětí, neboť ještě nemají srostlý patrový kostní šev. Zhruba po 16. roku věku šev sroste a pak lze hyrax použít pouze po chirurgickém uvolnění čelisti. Po určité době používání hyraxu vznikne díky roztažení patra mezera mezi řezáky. Mezera se může uzavřít sama, někdy je třeba použít např. rovnátka k jejímu odstranění.
Diskuze na téma Hyrax na Omlazení.cz