
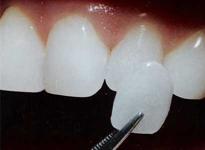
Keramické fazety jsou slabé keramické plátky, které se lepí přímo na čelní část zubu. Jsou jedním z nejmodernějších metod řešící estetické problémy předních zubů.
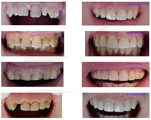
Keramické fazety vyplňují mezery mezi předními zuby, řeší problém s vadným zabarvením a postavením předních zubů, dále estetické vady v důsledku zlomenin a erozí zubů nebo mnohočetných plomb na předních zubech.
Zákrok se provádí v lokální anestezii a probíhá ve dvou fázích. Nejprve dojde ke zbroušení přední části zubu (maximálně o 0,4 mm) a sejme se otisk zubu. Při následné návštěvě se keramické fazety natrvalo přilepí a vyleští. Díky současné technologii je možné celý zákrok podstoupit v jedné návštěvě (přístroj Cerec).
Dlouhá životnost fazet je závislá na dokonalé ústní hygieně a zacházení klienta s fazetami. Je třeba dbát zvýšené opatrnosti při kousání tuhé tvrdé potravy.
Diskuze na téma Keramické fazety na Omlazení.cz