
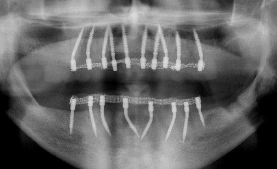
Zubní implantát je umělá náhražka původního zubu, která přebírá jeho funkci. Využívá se u ztráty trvalých zubů a jeho předností je, že nevyžaduje broušení okolních zubů.
Zubní implantát nahradí poškozený kořen kořenem umělým a to u jednoho, či více chybějících zubů, aniž by bylo nutno obrousit ostatní zdravé zuby, jako se děje právě v případech protéz. Zubní implantáty je pak základem pro další zubní náhradu.
Implantát má v podstatě neomezenou životnost. Nutné jsou pouze kontroly u stomatologa a to 2 x za rok. Při dodržení dobré hygieny a pravidelných kontrol jsou implantáty velmi spolehlivé a úspěšnost této terapie se uvádí okolo 98 %.
Diskuze na téma Zubní implantáty na Omlazení.cz