
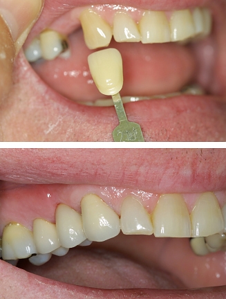
Zubní korunky jsou umělé náhrady korunkové části zubu. Důvody těchto nejmenších zubních náhrad jsou nejen estetické, ale především funkční (prasklé, odlomené korunky zubů).
Zubními korunkami je možné nahradit zuby, které mají zachovaný zdravý kořen a jsou schopné korunku unést. Na rozdíl od fazet – kde se vyměňuje pouze přední plocha zubu – se u zubních korunek nahrazuje zub jako celek. Korunky slouží rovněž jako pilířová konstrukce fixních můstků.
Zákrok se provádí ambulantně v lokální anestezii. Zub se zbrousí do požadovaného tvaru a po zhotovení korunky je při následné návštěvě vyměněná dočasná pryskyřičná korunka za fixní. Upřednostňují se metalokeramické a celokeramické korunky pro svoji tvrdost a estetické nároky.
Je třeba dbát na zvýšenou ústní hygienu, náchylný je především krček zbroušeného zubu. Zároveň se může rozběhnout i zánět dásní.
Diskuze na téma Zubní korunky na Omlazení.cz