
Zubní můstek je protetická náhrada jednoho až čtyř vlastních zubů. Důvody částečného zastoupení chrupu jsou nejen estetické, ale především funkční (poruchy skusu, nevratná asymetrie úst).
Existuje celá řada druhů zubních můstků, upřednostňuje se však celokeramický materiál, který splňuje vyšší estetické a hygienické nároky.
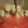
K zubnímu můstku se přistupuje v případě ztráty celého zubu nebo u nadmíru poškozeného zubu, který by nebyl schopen unést korunku. Samotný zákrok se provádí ambulantně v lokální anestezii. Zubař ubrousí dva sousední zdravé zuby, na které nasadí korunky, které nesou kompletně umělý chrup.
V případě použití tzv. inlay můstků může být výsledný efekt velmi uspokojivý. Můstek vypadá zcela přirozeně a dokonce propouští světlo. Je třeba dbát na zvýšenou ústní hygienu, náchylné jsou především zuby nesoucí můstek.
Diskuze na téma Zubní můstek na Omlazení.cz