Dobrý den,měla bych dotaz.je mi 25 let,a na horní čelisti,mám stěsnané zuby,takže mi některé trčí ven,1 mám mrtvou.Doktor říkal,že bych potřebovala asi 6 faset na zuby č.1,2,3.Já ale nevím zda by nebyly lepší korunky keramické.Nevím zda ta faseta vydrží tak dlouho jak korunka?Cenově to je zhruba stejné,faseta asi o něco dražší.Proto bych se chtěla zeptat která volba pro mne bude lepší vzhledem k mému věku?Díky za informace.S pozdravem Janina M.
Cituji Janina nina: na horní čelisti,mám stěsnané zuby,takže mi některé trčí ven
Nevím, jestli jsem to dobře pochopila, ale pokud ti některé zuby trčí ven, jak píšeš, tak by to nejdřív chtělo rovnátka...
Já jsem za dvě fazety platila 1000kč (fotokompozitní výplň). Za korunky mě zubařka nabídla cenu i s můstkem 7000kč. Takže ty ceny se mi nějak nezdají, že by byly stejné. Není to sice nejbělejší materiál asi jako korunka, ale za tu cenu jsem spokojena. navíc kdyby se mi něco uštíplo tak vím, že mě nová kornuka nebude státi tisíce.
No právě že já rovnátka nechci,proto to řeším tímhle způsobem,u rovnátek to trvá dlouho a není to 100%,proto chci zuby úplně nové a co nejdříve,ale problém je ,že nemám zkušenosti s fasetama ani korunkama,proto hledám radu..rovnátka neřeším.
Já chci fasety celokeramické(jsou bílé a kvalitní),ty s fotokompozitu nejsou tak kvalitní,hlavně když se jedná o přední zuby,které já ptřebuji a u mého doktora stojí jedna 5800 kč a korunka celokeramická 5500 kc.Tak právě nevím pro co se rozhodnout.. 
Cituji Janina nina: No právě že já rovnátka nechci,proto to řeším tímhle způsobem
Ale fazety ti zuby nenarovnají. Snad jedině korunky, ale taky jen minimálně. I korunky musí respektovat přirozený sklon zubu, jinak prasknou.
Tam nejde o narovnání zubů,není to že by mě trčely nejak šíleně ven,mám jen malou čelist,tak mi jedna 2 a jedna 3 trochu vylízá.Ja nepotřebuji poradit v tom co mi narovná zuby.Ale zda je lepší faseta nebo korunka.
Jinak při fasetě se zub zbrousí a na zbroušený zub se faseta lepí od toho ta faseta mimojiné také je,ale je to novinka,proto sháním lidi co s tím zkušenosti mají.
Protože je těžké, aby jsme jako laici odpovídali, měl by ti uspokojivě odpovědět odborník.
Nicméně trvanlivost keramické fazety je asi 5 let a většinou se ošetřuje 6 zubů v cenové relaci 50 tisíc, takže ti stejně doporučí, jako trvalé řešení, rovnátka.
http://www.lekari-online.cz/stomatologie/diskuze/k eramicke-fazety/keramicke-fazety-i59320
Já to rovnátkami řešit nechci,navíc mám 1 mrtvou,proto by se mi stejně rozpadla,o cenách faset vím mě by to vyšlo na 36 tisíc.O cenu mi nejde,ale díky za rady.Ta životnost mě zajímala,všude se uvádí jinak.No uvidím ještě zda se ozve někdo kdo fasety z keramiky má..Děkuji za info 
Cituji Janina nina: u mého doktora stojí jedna 5800
Ano, samotná fazeta. Ale + otisky+práce=8000.
Moje ségra je zubní technik, takže jsem vcelku informovaná a pokud se bude jednat o kvalitnější keramiku, pak cena jedné fazety komplet i s prací je 10 tisíc.
Mám fasety z fotokompozitu na obou jedničkách, teď mi jedna ulítla asi po dvou letech, doplnění stálo 500,- Když jsem se ptala na keramické korunky, tak mi doktorka řekla, že by by se musely dát nejmíň 4, tj. i na dvojky kam nepotřebuju a jedna by byla za 3000,-, tj. celkem 12000,- a výdrž prý není lepší, prý je to srovnatelné a záleží člověk od člověka- někdo je tam prý s odštípnutým růžkem co 3 měsíce, někoho nevidí 5 let... Takže pokud je výdrž plus mínus srovnatelná, tak pro mě jednoznačně vítězí levnější varianta
Reaguji na pyrolis: ano to je sice pěkný že to stálo tak málo ale fotokompozitní výplň postupem času začne měnit barvu takže pokud se jedná o přední zuby keramika vyhrává co se týče estetiky
Reaguji na Dejnička:
hm to nevím ale zubařka očividně by chtěla na tobě vydělat nevidím důvod proč by ti musela kermické korunky dávat na alespoň čtyři zuby.asi proto aby to pěkně vypadalo ale pokud jsou dobře udělané korunky z keramiky tak to od svého vlastního zubu je nepoznáš.Za mě tedy jedině keramika!
Reaguji na Janina nina:
ahoj zakladatelko
jsme skoro stejně věkově tak ti napíši jaj to probíhalo u mě
Na svůj chrup jsem v době puberty kašlala jo je ted pravda že mě to i trochu štve ale sem teď strašně ráda za nový zoubky který jsou k nezaplacení
Došlo to tak daleko že jsem na skoro všech předních zubech měla plomby z fotokomozitu některé větší nějteré malinké,jenže on ten fotokompozit postupem času začne měnit barvu a pak nevypadá pěkně když máte na zubech takové mapy po tom jak ten kompozit začne se zabarvovat
Tak jsem šla ke svojí zubařce a ta mi to vždy převrtala a dala novou výplň jenže nekteré po třeba třech výměnách byli větší,tak jsem dlouhou dobu váhala, četla na netu, psala stomatologům,radila se se svojí zubařkou co s tím,nechci přece chodit s tak škaredými zuby.
Po tom co jsem se rozhodla že s tím něco musím udělat jsem váhala také nad fasetami nebo korunkami.Moje zubní fasety nedělala a korunky dělala pouze metalokeramické které mají základ z kovu a na ně je napalovaná keramika,tnto zub nevypadá přirozeně jelikož přes kov světlo neprojde,vidím to na svém přítelovi,má na 3 a 4 zubu keramické korunky,jsou velké a škaredé asi i špatně udělané ani barva neodpovídá jeho barvě zubů, ale to není podstatné,viděla jsem na více lidech metalokeramiku ale není prostě nad celokeramické.
Prouzdala jsem na netu až jsem našla zubní laboratoř která mě zaujala tím zjakého materiálu vyráběla korunky,fasety, atd.. Oslovila jsem přímo majitele této zubné laboratoře a zaslala mu fotografii svých původních zubů,doporučil mi jednoho pana zubaře ke kterému jsem šla na nezávaznou prohlídku za kterou jsem neplatila ani poplatek 30kč.Tam mi doporučilvzhledem k stavu mých zubů korunky,chtěla jsem právě původně už fasety ale řekl že při mých stavech zubů-dpst výplní je lepší korunka a fasety se právě ani na hodně plombované zuby nedoporučují.
No pak už jen zbývalo našetřit penízky a jít na nové zoubky,Co se týče ještě té laboratoře fotky jejich prací mají na svých stránkách ale na facebooku takže práci jsem viděla.Domluvili jsme se na sedmi korunkách na horní patro a jeden ulomený zoubek dole.Cena byla 3500kč za 1 zub včetně provizorní náhrady za dobu než se vyrobí korunky = 28000kč plus jsem ještě bylana dentální hygieně a bělení zubů takže moje investice byla asi něco mál přes 30 ticíc kč.
Ještě napíši něco o mých nových zoubkách
Zaujal mě materiál ze kterého laboratoř vyrábí keramické korunky.Je to keramický zub který je na zirkonové konstrukci.
Tady si dovolím okpopírovat ze stránek laboratoře něco o zirkonu:
Zirkonové korunky a můstky, jak se jim také říká, jsou v současnosti nejen nejpevnější keramické zubní náhrady, ale mají také podobné fyzikální vlastnosti (teplem se roztahují, chladem smršťují), pro které jsou indikačně vhodnější, než náhrady metalokeramické.Světlo totiž prochází zirkonoxidovou konstrukcí stejně jako u přirozených zubů. A hlavně se vyrábí několik barevných odstínů zirkonoxidu, který už tedy má barvu přirozeného zubu.
Tato laboratoř sídlí v Brně a k zubaři jsem šla také do Brna.
Stránky laboratoře http://www.jslab.cz
A't už se rozhodneš jakkoliv jdi určitě do volby celokeramiky.Kdyby jsi cokoliv chtěla vědět ptej se zoubky mám od května letošního roku a také jsem si tím zažila svý ale stálo to opravdu za to!a nechápu proč jsm vůbec tak dlouho váhala zda do něčeho takového jít nebo ne ale chtěla jsm opravdu kvalitu kterou by mi moje zubařka nedala, ale tato laboratož spolu se skvělých a milým panem zubařem ano!Díky nic se teď mohu smát naplno a jsem za to ráda.
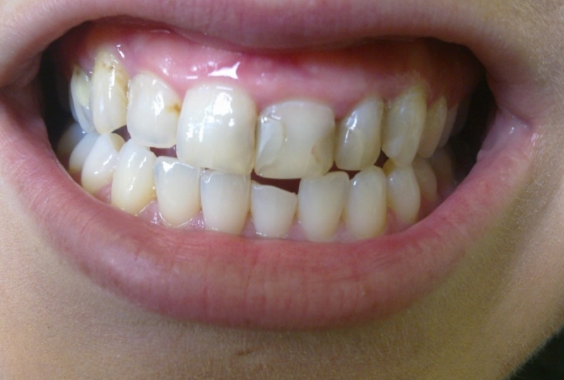
Holky přidávám sem fotku mojich zubů PŘED a PO prosím fotky před se nelekněte,vím byla to katastrofa ale naštěstí už tohle v puse nemám.Ještě musím říct že na korunky jsem si zvykla hned asi po 14dnech mě nepřišlo že bych měla v puse něco cizího.

PED (katastrofa za kterou si mu sama)

Nhradn zuby (jen odlitek z pryskyice nijak neopravovan ale byla jsem rda e je mm e nechodm jak upr :) )

MOJE ZOUBKY DNES (a foceno tak dnes-v prci )
Cituji Market1: vidím to na svém přítelovi,má na 3 a 4 zubu keramické korunky
kecám sem to špatně napsala má korunky metalokeramické tak to mělo být původně napsané
A nebo se rovnou zaregistrujte. Zabere Vám to 2 minuty.