Reaguji na Elorka:
Teď jde o to, jestli máš křivě jen horní patro nebo i spodní. Tato operace se provádí na obou čelistech zároveň, protože logicky do sebe pak zuby musí zapadat, musí být dobrý skus. Pokud máš posunuté jen jedno patro (tzn. že už teď bys na jedný straně nedokousávala), tak tam by to možná spravily jen rovnátka. Můžeš mít jen laicky řečeno jednu stranu zubů víc vylezlou ven a druhou víc do dásně atd. Ale to ti řekne právě ten ortodontista. A neboj se jich obejít víc, já byla na konzultaci u čtyř a jsem šťastná, že jsem dala na svoji intuici. Pokud jsi z Prahy, tak za sebe bych doporučila určitě konzultaci u MUDr. Suchého.
Reaguji na Erinka: Myslím, že mám křivé jen horní patro spodní zuby jsou pěkné jenom ten vrch je prostě špatný, kéž by mi pomohla jenom rovnátka no, ale obávám se, že mi s tím rovnátka moc nepomůžou to by mi museli snad nějak posunout celé patro nebo nevím nejsem doktor
tak jsem fakt zvědavá co mi na to řeknou zatím o tom můžu jen spekulovat.
Cituji Elorka: Bohužel z Prahy ani z Brna nejsem
Co jsem to tam psala, myslela jsem Kladno
, ale to máš taky z ruky 
Cituji Erinka: Tato operace se provádí na obou čelistech zároveň, protože logicky do sebe pak zuby musí zapadat, musí být dobrý skus
ne vždy, někdy se posouvá pouze jedna čelist, záleží na přesném typu vady.......Mnoha lidem posouvají jen jednu čelist právě tak, aby zapadla do té, kterás e vyvíjela správně......Ale samozřejmně pokud je problém v postavení obou čelistí, taks e samozřejmně operují obě
Reaguji na Elorka:
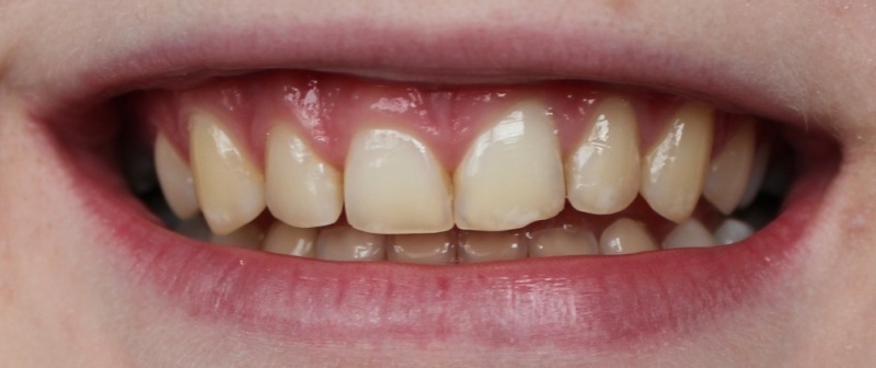
Já mám u horního patra pravou stranu (na fotkách levou) trochu posunutou níž. Ale na těch fotkách to tak nevynikne, protože mám jen výřez pusy. I dáseň mam posunutou níž. Zuby mi ale do sebe krásně zapadají. Pomoct by mi mělo odříznutí kousku dásně, až mi budou dělat na dvojky fazety. Pokud to půjde, tak si ji nechám odříznout i u špičáku, abych aspoň tu dáseň měla rovně. Jsem na ten výsledek zvědavá a doufám, že to trochu pomůže.
Reaguji na bakalářka:
Já vím, že při posunu operují i jednu čelist, ale měla jsem namysli přímo tenhle případ, kdy jsou ty čelisti asymetricky. Logicky, kdyby horní čelist dali rovně tak by pak ta spodní na jedné straně dokousávala normálně a na druhé straně by tam byla větší mezera a nedokousávalo se. Při posouvání dopředu nebo dozadu vím, že mohou pouze jednu.
Reaguji na Erinka: To mi příjde, že máš fakt jen trošinku toho si skoro nikdo ani nevšimne
kdybych to měla tak jak ty tak bych ani operaci neřešila, ale třeba to je jen na fotce v reálu to může vypadat jinak, že ano. A zní to dost děsivě odříznout kus dásně nedovedu si to vůbec představit jau 
Cituji Elorka: že mi s tím rovnátka moc nepomůžou to by mi museli snad nějak posunout celé patro nebo nevím nejsem doktor
to se pávě pak posouvá operativně - oni tu čelistní kost naříznou, vyříznou v ní klíny tak, yb si sedla správně, sešroubují, případně dají dlahy atd. A samozřejmně to dělají tak, aby byl i estetický efekt....
Cituji Erinka: Zuby mi ale do sebe krásně zapadají.
Cituji Erinka: Zuby mi ale do sebe krásně zapadají.
Právě že pokud máš správný skus (nebo se ho dá dosáhnout rovnátky) tak je to v pohodě a operace by byla jen estetická...
fakt by mě zajímaly fotky zubů a i tváře 
Reaguji na bakalářka:
Právě, že u mě je operace zbytečná. Respektive kandidátka bych asi byla, ale není to tak neestetické a ani ze zdravotního hlediska to není nutné. Spíš člověk by chtěl mít co nejdokonalejší úsměv (což bohužel nikdy nebude).
Hele fotky radši ne. Přece jen není tu téma "Zrůdička roku".
Budeš se muset spokojit jen se zuby v galerce. Ale jak říkám, ten výřez zkresluje no.
Reaguji na Elorka:
Někdo má problém, že mu dáseň přerůstá přes zuby (tím myslím opravdu hodně), nevzpomenu si teď na název té vady. To se pak řeší právě odříznutím té dásně. Taky si to nedokážu moc představit, ale vím, že se to provádí.
Cituji Erinka: Hele fotky radši ne. Přece jen není tu téma "Zrůdička roku".
Informační šum -myslela jsem fotky zakaldatelky
BTW ty tvé zuby se rovnají fakt pěkně ![]()
Reaguji na bakalářka:
Sakra!!
A já už myslela, že toužíš po mých fotkách.
Jinak spodní už má krom jedné minimezírky, kterou stahují, úplně rovné, jen ten jeden špičák musí trochu zabrousit. Horní jsou horší, tam se musí stáhnout mezery, ale některé zachovat kvůli dostavbě, pak zabrousit jedničky a trochu ty jedničky ještě srovnat, aby nebylo zešikmení. Každopádně jsem počítala s rovnátky až do příštího roku a bylo mi řečeno, že v létě už budu bez nich. A to je mám teprv 9 měsíců. Bez toho trhání to šlo fakt rychle.
Každopádně taky bych ráda viděla zuby zakladatelky.

dost viditeln rozdl ekla bych

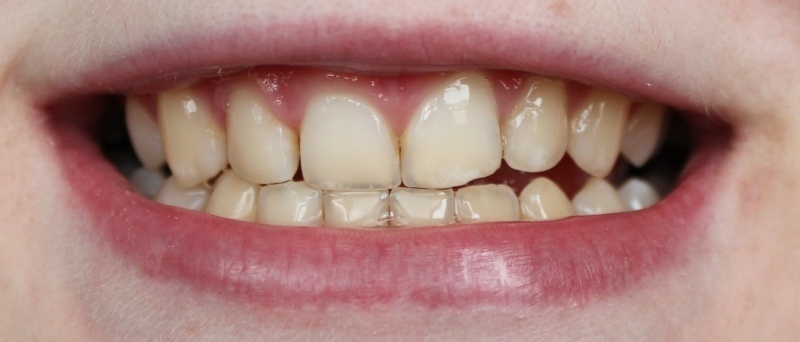
IMG_0781.JPG

a pro vt viditelnost
Reaguji na Elorka:
No tak z fotky je vidět, že je to z části tím, že máš dáseň víc přes zuby na té jedné straně. Jinak bych řekla, že to máš v podstatě stejně jako já. Když se podíváš na dvojky, tak jednu máš jakoby níž než tu druhou. Tohle mám taky. Myslím, že ti možná i kousek dásně odříznou (pokud to nebude na operaci). Třeba se ale pletu.
A nebo se rovnou zaregistrujte. Zabere Vám to 2 minuty.