Cituji Labtec: vrátí ..taky jsem to tak měla po bělení... do pár měsíců se to srovná
Taky se mi to stalo, tak to jsi mě uklidnila. Dneska jsem poprvé bělila WP a ty flíčky mě vyděsily. Vypadá to daleko hůř než jak jsem měla zuby předtím, neměla jsem je nikterak výrazně žluté totiž, jen jsem chtěla supr bílý úsměv 
Cituji monca2: zubařka mi říkala, že jakékoliv bělení zubů není dobré
Řekla Ti proč? Moje mi jen radila UV bělení v Brně. Ale já si říkala, že prvně zkusím něco méně radikálního a WP mi tady přišel doporučovaný. Tak teď nevím jestli to nejsou vyhozené peníze.
Cituji Markvitka: Teď se těch skrvnek budu bát
No já si teď říkám, že jsem se na to nevykašlala, měla jsem před použitím WP zuby lepší 
Tak já teda musim říct, že po 2 týdnech mám ty skvrny daleko méně viditelné! Sice tam stále trochu jsou, ale je to o dost lepší. 
já byla na bělení laserem a skvrny jsem měla taky, ale už je to 3týdny a jsou skoro pryč, takže asi nejde o metodu bělení, jako o kvalitu zubů.... ale elmex gel používám taky!
Vážně? Já teda bělit přestala, vadila mi i ta nepříjemná chuť gelu a neměla jsem trpělivost být hodinu "mimo". Nehledě na ty skvrny...
jdu příští týden na ordinační bělení, prvně by vám správně měli odstranit zubní kámen a potom teprve bělit popř.odstranit nějaké flíčky kdo má třeba od kávy,čaje,atd.. já mám fluorové skvrny na tojkách a ty mě právě vždy vylezou díky bělení, ale některé zuby mě bělit nebude jelikož tam za měsíc budou korunky tak by to bylo zbytečné
Ahoj Holky, chci se zeptat - jak jste na tom? Bělím asi 14 dní s Crestem a skvrny se mi udělaly taky a taky řeším dilema, jestli pokračovat nebo ne ... Pokračovala jste některá a srovnalo se to? Nebo pokud jste přestaly, vrátily se zuby do normálního stavu??
Díky

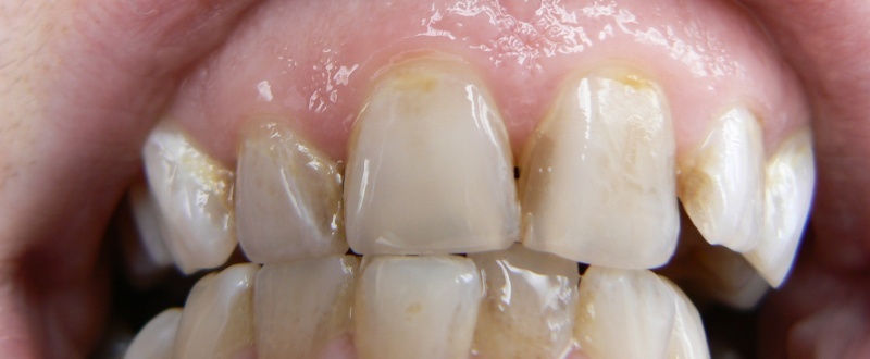
P1080834.JPG
Ahojte holky. Taky to tak mám a bělit jsem radši přestala. Čím to je, že se udělají bílé skvrny na zubech během bělení? Dehydratace zubu?
Jsem zvědavá, kdy to zmizí.
A nebo se rovnou zaregistrujte. Zabere Vám to 2 minuty.