Taky přispěju k tomuto tématu. Zubař mi měnil před třemi lety bílou plombu na dvojce, za několik měsíců se mi nad tímto zubem udělal váček, že jsem měla celou pusu nateklou. Jelikož byl svátek, musela jsem na pohotovost a zjistili, že mi zub odumřel. V zubu mi vyvrtali díru ať může hnis z váčku vytékat ven a když měl můj zubař ord.hodiny, pořádně mi vyčistil díru v zubu a aby to upevnil, protože se trošku viklal, dal mi tam nějaké dráty, které pak zadělal plombou. Od té doby uplynuly tři roky, zub drží, trošičku ztmavnul, ale jen nepatrně, když jsem se ptala co s tím, bylo mi řečeno, že ta zesvětlující báze vydrží jen krátkou dobu a pokud zub bude tmavší, bude nejlepší dát tam korunku. Nechali by kořen a kousek mého zubu a na to by korunku dali.
lenulka1: musíš ale počítat bohužel s tím, že i mrtvý ošetřený zub po čase vypadne (zhruba po patnácti letech)
Cituji rice: musíš ale počítat bohužel s tím, že i mrtvý ošetřený zub po čase vypadne (zhruba po patnácti letech)
To není pravda.
Cituji Lenulka1: jak se to dělá?
Ty vyvrtané dírky kterými ti trhali ze zubu nerv se pročistí kořenovými nástroji a zubní kanálky se celé vyplní nějakou bílou hmotou a uzavřou bílou plombou. Když budeš mít stěstí nebudeš o zubu celá léta vědět.
Cituji rice: lenulka1: musíš ale počítat bohužel s tím, že i mrtvý ošetřený zub po čase vypadne (zhruba po patnácti letech)
Může a nemusí, záleží jak komu, ale 15 let je u zubů hodně dlouhá doba, tak dlouho když na to přijde nemusí vydržet ani neumrtvený zub.
Lenulka1
Pokud je zub mrtvý, je třeba vyčistit kořenové kanálky a pak zacementovat. Možné je také vnitřní bělení, protože načernalý zub bys jistě nechtěla. Potom se uděla onlay, jako dostavba zubu a taky jako zpevnění, protože mrtvý zub je křehký a brzo by se odlomil (ale nevím, jestli se ty onlaye dělají i na přední zuby) a nebo korunka. Rozhodně doporučuju keramickou, která pokud je udělaná kvalitně, tak to nikdo nepozná a při správné péči ti vydrží 15let, třeba i déle. A asi bych obětovala ty penízky a nechala si to udělat v nějakém moderním stomatologickém centru, sice za celokeramickou korunku budou chtít nějakých 10tisíc, ale určitě budeš spokojena.
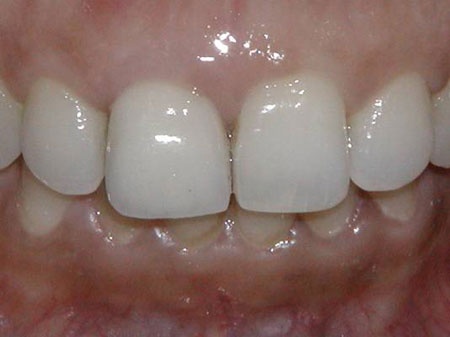
tady fota keramických korunek

.

...

....
tyweee
marjá, co to máš za zubařku?
mě jednak udělal rentgen celé pusy, velký, a pokud se po delší době chystá na nějaký zákrok (vrtání, trhání), pro jistotu hodí ještě malinký rentgenek jen toho zubu, "aby viděl" jak říká...
holky, to koukám, co jsou teď za možnosti. kamarádka, když jsem byla malá, si vyrazila oba řezáky při pádu z vlaku. mno...dali jí nějaké umělé, naprosto hrozné, bylo to vidět, byly i dost velké, nepřirozeně bílé...ale to se "srovná" prý, a hotovo. tak s tím chodila několik let...skutečně, po letech zažloutly a obrousily se...tomu říkám péče teda 
Cituji pinky: sice za celokeramickou korunku budou chtít nějakých 10tisíc, ale určitě budeš spokojena.
No právě že v těch moderních centrech většinou nevědí kolik by si nechali zaplatit, já osobně mám výbornou stomatoložku a dělala mi několik metalokeramických korunek za třetinovou cenu.
Evelyn
Pokud máš dobrou zubařku, tak to je super a ušetříš dost korunek. Já si na svou zubařku taky nemůžu stěžovat, ale kdybych potřebovala nějaký vysoce estetický výkon na předních zubech, asi bych investovala, protože dle mých zkušeností "pojišťovnoví" zubaři nepracují s těmi top materiály, protože pojišťovny na ně nepřispívají (a nebo je ani nenapadne je nabídnout, ledaže si o to sama zažádáš a oni objednají) a ne všichni používají nejmodernější postupy, kdežto pro soukromá centra, bojující s konkurencí, to je nutnost.
Cituji imoen: dali jí nějaké umělé, naprosto hrozné, bylo to vidět, byly i dost velké, nepřirozeně bílé...ale to se "srovná" prý, a hotovo. tak s tím chodila několik let...skutečně, po letech zažloutly a obrousily se
To dělají pryskyřicové korunky, které nemají takové estetické ani mechanické vlastnosti jako keramika, takže se není moc čemu divit,nicméně cena je podstatně nižší, takže se stále používají.
pinky
No já mám zkušenosti že vysoce kvalitní materiály se u nás používají už skoro všude, protože si je stejně pacient hradí. Na metalkeramické korunky a můstky zdravotní pojišťovny přispívají jenom minimální částkou, jedná se spíše o rozdílné ceny jednotlivých lékařů. To že soukromé stomatologické centrum nemá smlouvu se zdravotní pojišťovnou ještě není záruka kvalitní protetické práce, spíše naopak protože mají daleko méně pacientů než běžní stomatologové a málo platné dobrého doktora dělá především praxe a množství výkonů. 
Cituji ilka1: Důležité je, aby ti zub pořádně vyplnili. Nejlepší je, když má zubařka něco jako rentgen
Tato rentgen má, ale takový středověký 
Cituji Evelyn: Ty vyvrtané dírky kterými ti trhali ze zubu nerv se pročistí kořenovými nástroji a zubní kanálky se celé vyplní nějakou bílou hmotou a uzavřou bílou plombou. Když budeš mít stěstí nebudeš o zubu celá léta vědět.
To zní úpně výborně 
pinkySuper, moc děkuju za fota a za info, těch 10 000 je poměrně dost, ale uvidíme 
Cituji Evelyn: já osobně mám výbornou stomatoložku a dělala mi několik metalokeramických korunek za třetinovou cenu.
J8 jsem platila za tu předchozí korunku 2000, ta byla na stoličku a jsem spokojena.Tady jde právě o to, že tenhle zub je vepředu.Ale je celý, tak si zas myslím, že by bylo škoda ho obrušovat a dávat korunku, stačila by mi ta výplň zevnitř a zpevnit....
Zítra jdu k zubařce tak vám poreferuju, co mi řekla
Díky všem za informace!!
Evelyn
Ale já jsem přece neřekla, že běžní stomatologové nepracují s kvalitními materiály nebo neodvádí kvalitní práci, to rozhodně ne. Jen jsem chtěla říct, že pokud budu chtít to nej nej, co v současné době můžu z hlediska modernosti materiálu a postupů dostat, tak se asi obrátím jinam. Třeba příklad. kolik malých ordinací dělá fazety Rembrandt nebo bělení Zoom2 či BrightSmile?
A určitě nemůžu souhlasit, že dobrého stomatologa dělá jen délka praxe. Je spousta mladých šikovných doktorů odvádějící lepší práci, než někdo s 30 roky praxe.
Cituji pinky: Třeba příklad. kolik malých ordinací dělá fazety Rembrandt nebo bělení Zoom2 či BrightSmile?
To opravdu nevím o bělení zubů jsem se nikdy nezajímala porotože jsem to doposud nepotřebovala, ale jenom pro zajímavost, jeden "pojišťovnový" zubař v okresním městě má jako jediný v ČR speciální digitální tříprostorový zubní tomograf 3D-DVT NewTom, takže vůbec nepochybuju o tom že používá nejmodernější materiály a technologie.
včetně toho bělení zubů, patrně to bude dobrý specialista a je úplně jedno jestli dělá na pojišťovnu a nebo v "moderním stomatologickém centru".
Holky zlaté 
Tak jsem tam dneska byla, zoubek se zachrání juchúúú. Tradičně čištění kanálků a pak až to bude OK, tak výplň a je vymalováno 
Tak mám radost
A nebo se rovnou zaregistrujte. Zabere Vám to 2 minuty.