prosím kdo vyzkoušel produkt ne bělení s názvem WHITE SMILE - je to ten z tv reklamy - náhubek s gelem a světlem.....je to ještě levnější než white pearl tak aby to nebyl nějak ksindl, co třeba navíc nepomáhá?
a pak také prosím ty co mají zkušenosti s bělením přirozeně spíše nažloutlých zubů...já přirozeně barvu zubů spíš žlutou-nekouřím, červené víno ani kafe nepiju, ale zkrátka celý zub mám stejněměrně nažloutlý - tak chci i vědět jak bělili lidé se stejnými zuby...jaké byly vaše zuby předtím a pak po(jestli máte fotky budete zlaté)...protože jestli jste třeba měli zoubky bílé ale jen jste chtěli americký úsměv tak chápu že pomohla i zubní pasta-ale ta mě fakt nezabere..ačkoli jsem zkusila čas od času bělit citronem a zlepšení vidět bylo hned-takže jistě i moje zuby půjdou vybělit...zatím se mi tedy nechce do zákroků u zubaře,ale i takovou zkušenost si ráda počtu, a třba se nechám zlákat když to na Vaše nažloutlé zoubky pomohlo...
Cituji Fashion victim: a pak také prosím ty co mají zkušenosti s bělením přirozeně spíše nažloutlých zubů
já mám přirozeně nažloutlé zuby, ne žluté,ale prostě mají nažloutlý nádech a dokonce na mě nějak nefunguje bělení, měla jsem různé pasty-to vůbec, pak white pearl, taky nic, jen jsem měla přecitlivělé zuby, ted zkouším pásky crest, ty profesional,tak uvidíme....ale nechci to moc přehánět, přecejen lepší zdravé nažloutlé zuby než zničená sklovina
irinda
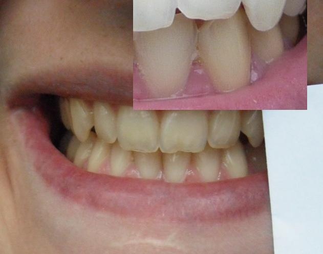
hm tak to budu na tom asi uplně stejně...mám takový lehce nažloutlý odstín-po celém zoubku stejně...přikládám fotku tak se prosím Vás nikdo nelekněte
já se taky o zuby bojím, mám je zdravé - bez jedniné plombičky, tak nechci bělit moc násilně, proto bych chtěla zkusit napřed nějaké to domácí bělení.....nemám je ani citlivé ikdyž se mi v poslení době stalo (asi 3krát) tak 1xza 2 měsíce, že mě zkoubky trnuly při ledovém jídle/pití...
tak white náhubky asi zbytečné, co

DSCF3651t.JPG
Fashion victim
mám zoubky asi jako ty, jen ty vrchní čtyři řezáky mám malinko světlejší než ostatní zuby od špičáků dál a spodní a mrcha se mi nechtějí vybělit, přidávám taky foto,ale může zkreslovat světlo
, jinak to bělení mě hlavně štve,že mám pak citlivé zuby a dásně a skoro žádný efekt to nemá,ty pásky jsou poslední pokus, jinak už na to kašlu 

v mstnosti

na svtle
hm tak nevím,tady to vypadá,že mám zuby o dost světlejší než ty,ale bohužel to není moc pravda,jen možná maličko, dost to zkresluje.....
irinda
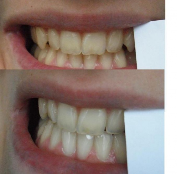
Tady to vypadá, že máš zoubky krásně bílé
Co bych za takové dala
Taky už nějakou chvíli přemýšlím, že zkusím doma vybělit, ale nevím, který přípravek vybrat.. 
irinda
no to teda tady máš zuby jak můj přítel - uplně Amerika-to ti povím..jestli máš takovou barvu jak to vypadá na té foce, tak nemáš ale co bělit..se pak nedivím, že ti to už víc nejde....
...no já to fotila v místnosti-moc světla tu není a bez blesku...ale stejně ty tvoje vypadají naprosto ukázkověj jak z relamy na bělení
...
Kristýnka_
no právě jen vypadá, nevím čím to,ale takové nemámresp. ty vrchní čtyři docela jdou,ale zbytek nic moc
, snad ted to bude líp vidět, jak mám ty spodní zuby,tak takové mám všechny krom těch vrchních čtyř

P1080611.JPG
Fashion victim
to ale dělá ta fotka fakt, bohužel
, mít takové normálně tak si pískám,ani nevim,jak se mi to povedlo tak vyfotit
, schválně jsem dala ty tvoje a ty mé na sebe a je to skoro to samé....

zoubky.JPG
irinda
no tak rozdíl tu je..já mám právě uplně všechny naprosto stejného odstínu-ani u dásně je nemám tmavší-jak to většinou je...asi se i dá barva trošku zkreslit světlem je to fakt-ted jsem se zkusila vyfotit přímo před oknem..a to už taky vypadají bělejší...a mám tam vždycky bílej kancelářskej papír...a na druhé foce je rozdíl...tedá..skoro jak kdybch zrovna vybělila 

DSCF3655.JPG

DSCF3651t.JPG
irinda
ale zas když máš ty 4 bílé tak ti určitě půjdou nějak vybělit i ty ostatní...
...kdyžtak pak určitě písni jak dopadly ty pásky Crest....
beushka
a bělilo? nebo ani to ne?...říká se, že na dásně to takhle působí, když dáš gelu moc, že to vytlačíš pak zubama na dásně...
Ahojky.Já používala white smile někdy v 17 letech a doteď mám krásné bílé zuby a všichni mi je chválí. To mi bude 20 Fajn nekouřím,ale kafe a červené víno si neodpustím.Jinak možná tě sem tam dásně pálit budou,ale to se dá vydržet a výsledek za to stojí.Mně to tedy zuby nijak nepoškodilo.Já si ho poběžím koupit v nejlbížší době ať mi na léto zoubky jen svítí.
A nebo se rovnou zaregistrujte. Zabere Vám to 2 minuty.