Omlazení si zaslouží i vaše zuby
Proč se nevyplatí zanedbávat preventivní prohlídky u zubaře?
Pravidelné preventivní prohlídky u stomatologa by měly být nedílnou součástí péče o zuby. Lékař vyšetří zuby a dutinu ústní a odhalí počínající onemocnění. Díky tomu předejdete větším zásahům do chrupu, které by mohly kvůli neléčeným obtížím hrozit. Stomatolog vás seznámí i s možnostmi, jakým způsobem by se dala vylepšit estetika vašeho chrupu.
Zářivé a zdravé zuby díky dentální hygieně
Pokud vás trápí barevné nedokonalosti nebo zubní kámen, objednejte se na dentální hygienu, kde vám odstraní nejen barevné nedokonalosti, ale naučíte se i správnou techniku čištění zubů. Práce dentálního hygienisty se skládá ze dvou částí. Nejprve vám z povrchu zubů odstraní zubní plak, zubní kámen a pigmentace. Zároveň zjistí přítomnost zánětu dásní či paradontitidy. Druhá část jeho práce spočívá v podrobné instruktáži správného čištění zubů a výběru vhodných pomůcek na míru vašim zubům.
Jak vybělit zažloutlé zuby
Bílé zářivé zuby vypadají zdravě a mladistvě. Pokud vás trápí zažloutlé zuby, navštivte svého stomatologa a nechte si zhotovit sadu pro domácí bělení. Jedná se o šetrnou bezpečnou metodu bělení, díky které si zuby bělíte z pohodlí vašeho domova. Lékař vám v ordinaci na míru zhotoví speciální nosiče. Domu si pak odnášíte ještě bělicí gel a pak už si sami určíte, jak a kdy budete bělit. Až dosáhnete požadované barvy, jednoduše s procesem skončíte. Můžete se k němu zase kdykoli vrátit.
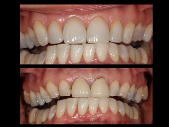
Na křivé či poškozené zuby pomohou zubní fazety
Zubní fazety jsou tenké keramické plátky, které se používají k poměrně nenáročné úpravě tvaru, barvy nebo postavení předních zubů. Stomatolog nejprve vyšetří dutinu ústní, aby v ní neprobíhalo žádné onemocnění. Poté si nechá v zubní laboratoři zhotovit zubní fazety, které při další návštěvě připevní. Jedná se o nejrychlejší způsob, jak mít krásné bílé a rovné zuby během dvou návštěv stomatologa.
Co dělat, když vám chybí zub?
Ztráta zubu je velmi nepříjemná, pokud se odehraje ve viditelné části chrupu, způsobuje pacientům často komplexy a pocity méněcennosti. Neměli byste však podceňovat ani ztrátu zubu v zadních partiích dutiny ústní. Po ztrátě zubu dochází k úbytku kosti a zároveň se mění postavení okolních zubů.
Objednejte se proto co nejdříve ke svému stomatologovi, který vám nabídne nejvhodnější způsob náhrady chybějícího zubu. Kromě tradičních způsobů jako jsou můstky nebo zubní implantáty, existují například šetrné adhezivní můstky, které zub nahradí poměrně rychle. Mají ale omezenou indikaci, nelze jej tedy použít u všech pacientů.









Komentáře
Zde se můžete Zaregistrovat, případně Přihlásit